3分钟的功夫,肺结节肿瘤没了!松原吉林油田医院MDT团队精准微波消融为肺癌患者解除病痛!
11月10,记者在松原吉林油田医院采访了即将出院的肺结节肿瘤患者赵先生。“没想到哇,这不开刀就能治好我的肺结节这个癌,现在身体没有什么不舒服,和正常人一样啦,该吃吃,该溜达溜达!”79岁的赵先生感慨地说。
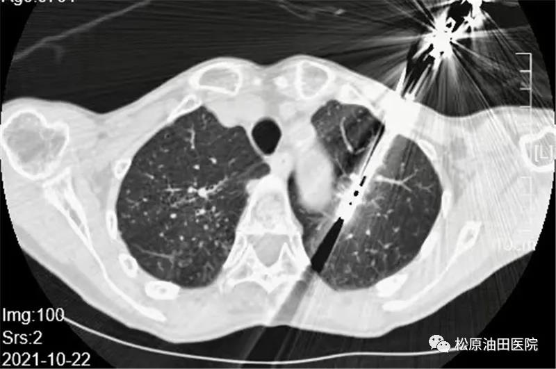
据了解,今年11月4日,赵先生因发烧入院,胸部CT诊断为肺炎及左肺上叶毛玻璃样结节,赵先生和家人都很紧张。经松原吉林油田医院肺结节MDT团队与北京大学肿瘤医院专家柳晨教授联合会诊后,考虑为早期肺癌,决定采用创伤小、术后恢复快、手术费用低的超微创治疗方式——微波消融技术进行手术,3分钟左右即可“烧死”肺部肿瘤。
术前,专家组制定了周密的手术计划,不需要气管插管、下导尿管,手术采用穿刺+微波消融术方式,即取到了病理组织又可以消灭肿物。不到一个小时,消融手术顺利完成。CT扫描显示病灶达到了完全消融,手术宣告成功!术中,赵先生完全处于清醒状态并能正常对话,术后立即能自行行走,并于四天后出院。
“开始有点顾虑,总觉得肿块手术切除了才安心。但真正了解肿瘤消融术后,才知道这种微创手术创伤小,价格低,不需要全麻,很适合我,于是就接受微波消融治疗了。”赵先生说。
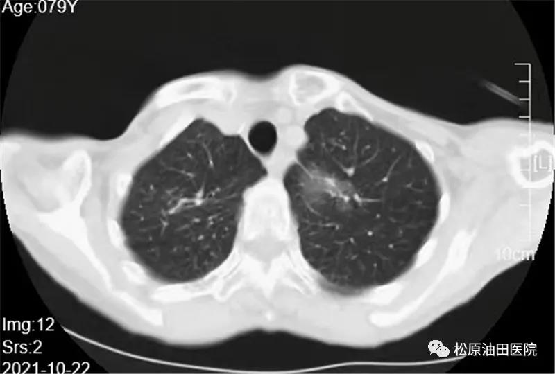
据CT科副主任医师臧文远介绍,同赵先生一天接受“肺结节、肿物微波消融”手术治疗的另外4位患者也将陆续出院,肺部肿物大小从1cm-3.5cm,平均住院时间为5天。
据了解,影像导向下的消融治疗具有以下优势:
一是更微创。一般采用经皮穿刺治疗,术后体表不留疤痕;肿瘤消融区域仅需外延至肿瘤周边0.5-1 cm,使更多健康组织得以保留,更利于患者长期生存。
二是更精准。局部消融治疗全程在清晰CT影像导引或监测下进行,定位更精准,对周围组织的损伤降低到最小,术后并发症也明显降低,恢复更快,
三是费用低。热消融治疗有较高的效价比,经皮热消融治疗相关的费用及术后1个月、3个月及12个月累计治疗相关费用都低。
四是安全性高。位于重要器官如肝、肺中心地带的病灶,外科手术风险高,瘤体根治切除肿瘤需要同时切除更多的正常组织,消融治疗在破坏肿瘤的同时建设性地保留正常组织。
五是可重复性操作。肿瘤在治疗中常常需要多次的重复治疗过程,如多发病灶、术后复发病灶,肿瘤复发时重复多次消融治疗对大多数患者来说是很容易接受。
CT科副主任医师臧文远说:“经皮热消融治疗是肺癌综合治疗的重要手段之一,对于早期肺癌,可起到根治性治疗作用;对于中晚期肺癌,可以有效减轻肿瘤负荷,缓解骨转移或神经压迫所致疼痛,可以延长患者生存期,提高生存质量;对于肺转移癌,也可控制肿瘤进展,最大程度地保留正常肺组织。”






