6月8日,松原油田医院泌尿外科成功实施一例肾脏巨大恶性肿瘤手术。
记者了解,来自长春市农安县的吴大娘,七天前无明显诱因出现肉眼血尿伴腰腹部疼痛,于是来松原吉林油田医院急诊科就诊,急诊科进行相关检查后,经泌尿外科医生会诊以血尿收住入院,入院进行了相关检查,明确了吴大娘诊断为右肾恶行肿瘤并侵犯肾盂,并建议患者手术治疗,患者医保不在本地,通过与患者及家属沟通,患者家庭经济条件一般,建议到医保地治疗,回当地手术,而吴大娘家属回当地多方咨询,综合考虑,多次商量,还是选择了松原吉林油田医院泌尿外科进行治疗。
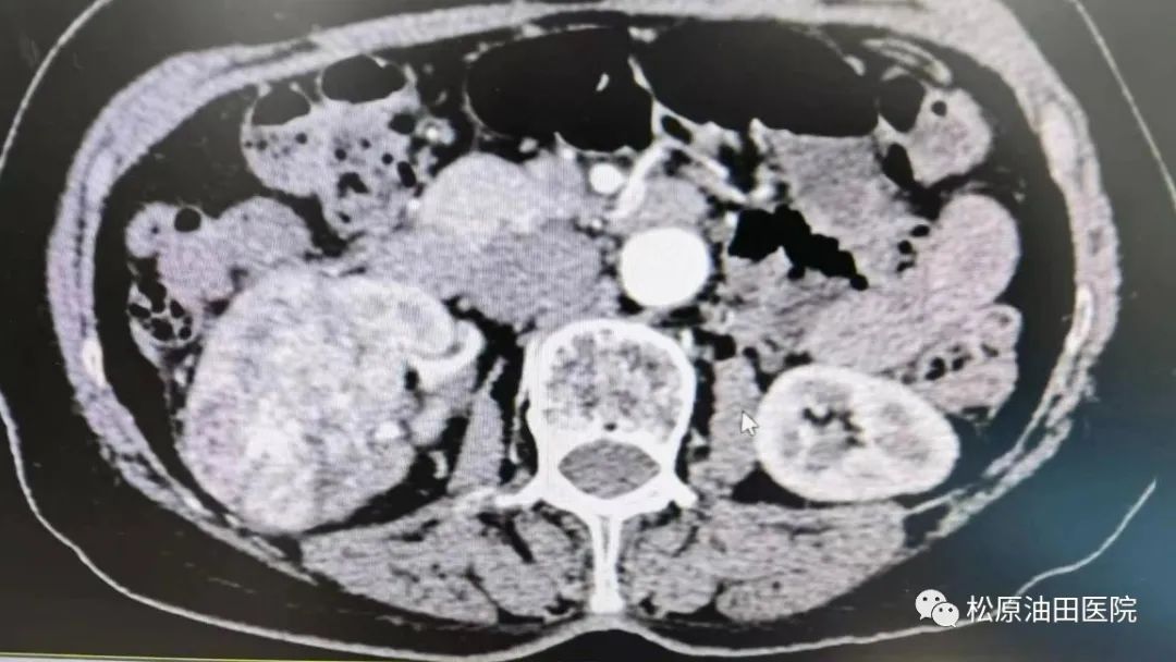
泌尿外科刘树志主任团队对吴大娘进行了详细的术前检查评估,结合术前增强CT结果,即肿瘤及血管与周围脏器粘连紧密的实际,为保证手术安全进行,防止术中出血过多进行术前备血;经科室讨论,手术方式选择腹腔镜下根治性肾切除术;泌尿外科联系麻醉科积极会诊,麻醉科选派经验丰富的李宜聪对患者进行全麻;刘树志主任术中仔细操作,克服肿瘤供应血管丰富、肾周与腹膜粘连紧密带来的手术难度与风险,历经2个小时时间,把右肾巨大肿瘤成功切除。目前患者术后恢复良好。
刘树志主任介绍,肾癌占原发性肾恶性肿瘤的80%-90%,在我国泌尿生殖系统恶性肿瘤仅次于膀胱癌,高发年龄41-70岁,男女发病率之比为2:1,根治性肾切除术是公认的治愈肾癌的方法。随着我院泌尿外科各项技术的成功开展,松原油田医院泌尿外科微创技术不断登上新台阶,让患者减轻痛苦,缩短住院时间,确保手术安全,为松原地区广大泌尿系统疾病患者提供更好、更优质的就医平台。






